Modified Maquet Procedure for Tibial Tuberosity Advancement (MMP TTA) Surgery For Cranial Cruciate Ligament Repair For Dogs In The Kansas City Area
MMP TTA is an advanced orthopedic surgery for treatment of cranial cruciate ligament rupture in the knee joint of dogs. It is an alternate procedure to the TPLO surgery and may be recommended in specific instances.
Dr. Joe Rodier is an experienced orthopedic surgeon who has been performing cranial cruciate ligament repair surgery for dogs in Blue Springs and the surrounding Kansas City areas for more than 30 years. Dr. Rodier receives many referrals and 2nd opinions every year from local veterinarians in Kansas and Missouri. He has performed in excess of 10,000 knee surgeries using various techniques with excellent patient outcomes.
Deciding which surgical procedure is right for your pet and choosing a veterinarian to do the surgery are important decisions. We offer a free 2nd opinion exam and consultation with Dr Rodier for new clients. He will examine your pet to discuss the diagnosis and treatment options and answer your questions.
How does the MMP TTA surgery work?
The MMP TTA utilizes a titanium foam implant to advance the tibial crest and pull the head of the femur back into proper position. The titanium foam implant is porous and encourages bone growth into the implant.
In approximately 4-6 weeks bone fills in the implant enough to stabilize the repair. This bone stabilization of the foam implant shortens the period of exercise restriction required for healing after this procedure as compared to the TPLO procedure.
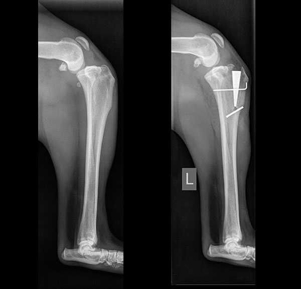
These before and after radiographs (X-rays) show alignment of the bones achieved with the MMP-TTA surgery at Blue Springs Animal Hospital.

What factors are important when choosing the best veterinarian to perform cruciate ligament surgery on your dog?

It is an important decision to choose which veterinarian should do your dog's cranial cruciate ligament surgery. Orthopedic surgery of the knee has a steep learning curve and should be performed by a Veterinarian with advanced training for the procedure and extensive experience with successful patient outcomes.
Dr. Joe Rodier has taken advanced training courses in TPLO, MMP-TTA, Tightrope, and the Anchor Lock procedures. He has 30+ years of experience and a record of success with these advanced orthopedic procedures. In addition he trained one-on-one with a board certified veterinary surgeon who is a Diplomate of the American College of Veterinary Surgeons.
Dr. Rodier receives many referrals and 2nd opinions every year from local veterinarians in Kansas and Missouri and is available for consultation, second opinions, or referrals for cranial cruciate ligament repair surgeries. Dr. Rodier will provide a complimentary 2nd opinion consultation and exam free of charge for new clients to determine if the TPLO surgery is the right procedure for your pet.
For more information on Cranial Cruciate Ligament abnormalities and treatment options, please visit our TPLO page.
